Σοκαριστικό βίντεο για τους καπνιστές: Δείτε τι παθαίνουν οι πνεύμονες από το τσιγάρο!
26 Νοεμβρίου 2019
Όλοι γνωρίζουμε ότι υπάρχει μια σχέση ανάμεσα στο κάπνισμα και τον καρκίνο των πνευμόνων, ή το άσθμα, αλλά λίγοι συνειδητοποιούν την πλήρη έκταση των βλαβών που το κάπνισμα μπορεί να κάνει στους πνεύμονές τους.

Ακόμη και το παθητικό κάπνισμα (εισπνοή καπνού από το τσιγάρο κάποιου άλλου) μπορεί να προκαλέσει σοβαρή βλάβη μακροπρόθεσμα.
Πώς είναι στην πραγματικότητα η βλάβη στους πνεύμονες από το κάπνισμα
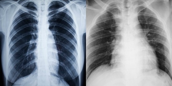
Εδώ βλέπετε την ακτινογραφία ενός ατόμου που δεν καπνίζει και έχει υγιείς πνεύμονες (αριστερά) και την αντίστοιχη ακτινογραφία ενός ατόμου που είναι χρόνιος καπνιστής και έχει κατεστραμμένους πνεύμονες (δεξιά).

Το κάπνισμα καταστρέφει τον πνευμονικό ιστό και αυτό είναι άμεσα ορατό στον καθένα. Ο καπνός από το τσιγάρο περιέχει περίπου 4.000 χημικές ουσίες, συμπεριλαμβανομένου του μονοξειδίου του άνθρακα. Αυτό δυσχεραίνει πολύ την λειτουργία των πνευμόνων και εμποδίζει το πολύτιμο οξυγόνο να κυκλοφορεί σωστά μέσα στο σώμα. Οι χημικές ουσίες στον καπνό του τσιγάρου ερεθίζουν και προκαλούν φλεγμονή στους αεραγωγούς και τους πνεύμονες.
Αυτές οι χημικές ουσίες “αφοπλίζουν” το φυσικό αμυντικό σύστημα των πνευμόνων. Μικροσκοπικές τρίχες στους αεραγωγούς, που ονομάζονται “βλεφαρίδες των πνευμόνων”, φιλτράρουν κανονικά τις τοξίνες και άλλα βακτήρια που εισέρχονται σε αυτούς, αλλά το κάπνισμα τις καταστρέφει. Αυτό έχει ως αποτέλεσμα διάφορες τοξίνες και βακτήρια να φτάνουν και να αναπαράγονται μέσα στους πνεύμονες.

Οι πνεύμονες ενός καπνιστή
Οι υγιείς πνεύμονες έχουν ανοικτό ροζ χρώμα, ενώ οι πνεύμονες ενός καπνιστή έχουν σκούρο χρώμα και στίγματα οφείλονται στην εισπνεόμενη πίσσα από το τσιγάρο. Η υφή των δύο διαφέρει επίσης, με τον κατεστραμμένο πνεύμονα να είναι πολύ πιο σκληρός και “εύθραυστος” σε σχέση με τον υγιή.
Η Χρόνια Αποφρακτική Πνευμονοπάθεια (ΧΑΠ) είναι ένας τύπος αποφρακτικής πνευμονικής νόσου, στην οποία, μακροπρόθεσμα, η ροή του αέρα στους πνεύμονες είναι ανεπαρκής. Μοιάζει με το άσθμα που προκαλείται από το κάπνισμα, το οποίο μπορεί να προκαλέσει και ΧΑΠ. Στην επόμενη φωτογραφία βλέπετε σε πολύ κοντινό πλάνο το εσωτερικό ενός πνεύμονα που παρουσιάζει πολλαπλές κοιλότητες γεμάτες εναποθέσεις άνθρακα (μαύρες κηλίδες).

Το βίντεο που σόκαρε του καπνιστές παγκοσμίως
Ένας καθηγητής στο νοσοκομείο Yan Chai στο Χονγκ Κονγκ, έκανε το ακόλουθο βίντεο, για να “ταρακουνήσει” τους φοιτητές που κάπνιζαν ασταμάτητα και να αποτρέψει άλλους να αρχίσουν το κάπνισμα. Συνέκρινε δύο πνεύμονες (και οι δύο είναι υγιείς κατά την έναρξη του πειράματος) αφήνοντας τον ένα “αναπνεύσει” καθαρό αέρα και τον άλλο να “καπνίσει” 60 τσιγάρα. Τα αποτελέσματα ακόμα και μετά από αυτή την πολύ περιορισμένη έκθεση στο τσιγάρο είναι σοκαριστικά…
Είναι αναστρέψιμη η κατάσταση;
Σύμφωνα με το αμερικανικό Ινστιτούτο για τον Πνεύμονα, περίπου το 47% των καπνιστών προσπαθούν να σταματήσουν το κάπνισμα κάθε χρόνο. Αλλά γίνεται να αποκαταστήσουν την λειτουργία των πνευμόνων τους, ακόμα και αν καταφέρουν να απαλλαγούν από το τσιγάρο;
ΝΑΙ, λέει ο οργανισμός υγείας “Why Quit”, ο οποίος διεξάγει έρευνες και παρέχει υποστηρικτικές υπηρεσίες σχετικά με την διακοπή του καπνίσματος. Η ικανότητα των πνευμόνων να θεραπεύσουν τον εαυτό τους είναι ένα μικρό θαύμα του ανθρώπινου οργανισμού, αλλά ανάλογα με το πόσο καιρό είστε καπνιστές, μπορεί να πάρει κάποιο χρόνο για τους πνεύμονές σας να ανακάμψουν πλήρως.
Πρώτη μέρα αφότου κόψετε το κάπνισμα: Το επίπεδο του οξυγόνου στο αίμα σας θα επανέλθει στο φυσιολογικό. Τα επίπεδα μονοξειδίου του άνθρακα θα πέσουν επίσης στο φυσιολογικό.
Πρώτος μήνας αφότου κόψετε το κάπνισμα: Οι πνεύμονές σας θα αρχίσουν να επεξεργάζονται το οξυγόνο πιο αποτελεσματικά και το στερητικό στρες που σχετίζεται με το κόψιμο του καπνίσματος θα υποχωρήσει.
Πρώτο έτος αφότου σταματήσετε το κάπνισμα: Ο κίνδυνος ανάπτυξης στεφανιαίας νόσου, καρδιακής προσβολής και εγκεφαλικού επεισοδίου θα έχει μειωθεί στο 50% σε σχέση με έναν καπνιστή.
Πρώτη δεκαετία αφότου κόψετε το κάπνισμα: Ο κίνδυνος καρκίνο του πνεύμονα, του στόματος, του φάρυγγα, της ουροδόχου κύστης, των νεφρών και του παγκρέατος μειώνεται δραματικά.
Πηγή: health24.com, dikaiologitika.gr


