“Κράτησε” το φτέρνισμα και κατέληξε στο νοσοκομείο: Δείτε την ακτινογραφία του τι έπαθε!
21 Μαΐου 2021
Ίσως έχετε ακούσει τον αστικό μύθο για το τι μπορεί να συμβεί αν φτερνιστείτε με τα μάτια ανοιχτά: «θα σας πεταχτούν τα μάτια έξω»!

Λοιπόν, ηρεμήστε διότι από ένα φτέρνισμα δεν πρόκειται τα μάτια σας να πεταχτούν έξω, σαν φελλός από σαμπάνια! Οι αεραγωγοί στην μύτη και τον λαιμό δεν συνδέονται με τίποτα πίσω από το μάτι. Αυτό σημαίνει ότι δεν υπάρχει τρόπος το φτέρνισμα να προκαλέσει αρκετή πίεση ώστε να βγουν οι οφθαλμοί προς τα έξω.
Ωστόσο, υπάρχουν άλλοι κίνδυνοι από το φτέρνισμα, που δεν φαντάζονται οι περισσότεροι. Πάρτε για παράδειγμα έναν απόλυτα υγιή άνδρα 34 ετών που, για άγνωστους λόγους, αποφάσισε να προσπαθήσει να “κρατήσει” ένα φτέρνισμα καλύπτοντας το στόμα του και κρατώντας τη μύτη του ταυτόχρονα.
Το τι του συνέβη περιγράφεται σε σχετικό άρθρο του επιστημονικού περιοδικού BMJ με τον μάλλον ενοχλητικό τίτλο «Snap, crackle, and pop: when sneezing leads to crackling in the neck». Ο 34χρονος έφτασε στα Επείγοντα νοσοκομείου επειδή αυτό που έκανε πάνω στο φτέρνισμα πήγε πολύ στραβά. Ο νεαρός ασθενής έκλεισε την μύτη του και κράτησε το στόμα του κλειστό όταν φτερνίστηκε, βιώνοντας μια “αίσθηση σκασίματος” στον λαιμό του.
Ναι, αυτό που έπαθε ήταν τόσο ενοχλητικό όσο ακούγεται. Γρήγορα η κατάστασή του χειροτέρεψε όταν ένιωσε έντονο πόνο όταν κατάπινε, πόνο στον λαιμό του και η φωνή του αλλοιώθηκε. Κατά την εξέταση στα Επείγοντα ανακαλύφθηκε ότι ο λαιμός του μέχρι το θώρακα του έκανε ήχους σαν κάτι να “σκάει” και ήχους σαν “κρακ”. Αυτό ήταν ένα σημάδι ότι είτε είχε φυσαλίδες αέρα μέσα στον βαθύ ιστό και τους μύες του στήθους του!
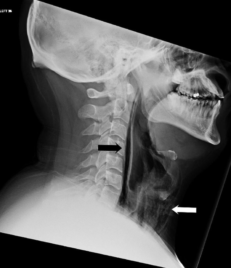
Οι γιατροί το αναγνωρίζουν αυτό με την ορολογία “σημάδι του Χάμαν”. Μπορεί να συμβεί όταν καθώς συστέλλεται και διαστέλλεται η καρδιά, χτυπάει πάνω σε ιστό γεμάτο με αέρα. Οι γιατροί διέταξαν επιτόπου να γίνει ακτινογραφία. Εκεί αποκαλύφθηκε το πρόβλημα:
Καθώς “κράτησε” το φτέρνισμα, ο 34χρονος είχε σπάσει το πίσω μέρος του λαιμού του!

Η ρήξη (η οποία προκαλείται συχνότερα από αμβλύ τραύμα στον λαιμό, έντονο έμετο και βαρύ βήχα) είχε προκαλέσει διαρροή αέρα στην οπισθοφαρυγγική περιοχή (δείτε το βέλος στην ακτινογραφία), προκαλώντας πόνο και απώλεια φωνής.
Ευτυχώς, ο 34χρονος κατάφερε να αναρρώσει από το φτέρνισμα στο νοσοκομείο. Του δόθηκε ένας σωλήνας σίτισης και ενδοφλέβια αντιβιοτικά ως προληπτικό μέτρο. Αργότερα πήρε εξιτήριο και μαζί την συμβουλή των γιατρών να μην ξανακλείσει ποτέ και τα δύο ρουθούνια του κατά το φτέρνισμα.

“Η διακοπή του φτερνίσματος μέσω του αποκλεισμού των ρουθουνιών και του στόματος είναι κάτι επικίνδυνο και πρέπει να αποφεύγεται», αναφέρουν οι συγγραφείς του άρθρου. «Μπορεί να οδηγήσει σε πολυάριθμες επιπλοκές όπως φυσαλίδες αέρα στο στέρνο, διάτρηση της τυμπανικής μεμβράνης, ακόμη και ρήξη εγκεφαλικού ανευρύσματος«.
Πηγές: https://www.eurekalert.org, https://www.iflscience.com, iatropedia.gr


