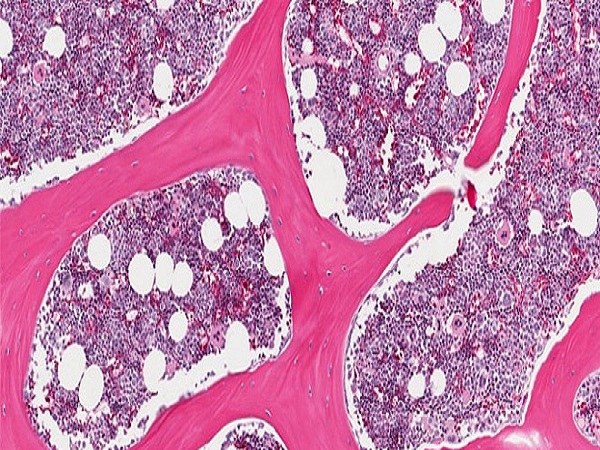
(Προηγούμενη δημοσίευση: http://www.pemptousia.gr/?p=167501) Ο μυελός των οστών είναι μια ουσία σπογγώδους μορφής η οποία δομεί το κεντρικό τμήμα των οστών. Συναντάται σε μεγαλύτερες ποσότητες στα μεγάλα πλατέα οστά όπως είναι αυτό του στέρνου και της λεκάνης. Για να λειτουργεί σωστά ένας υγιής οργανισμός και να παράγονται απρόσκοπτα κύτταρα του αίματος πρέπει ο μυελός των οστών να είναι υγιής και να επιπλέον απαιτούνται και θρεπτικά συστατικά τα οποία προέρχονται από την τροφή. Τέτοια είναι ο σίδηρος και ορισμένες βιταμίνες. Ο μυελός των οστών αποτελεί την κύρια πηγή προέλευσης ενήλικων βλαστοκυττάρων. Από τον μυελό μπορούν να απομονωθούν τόσο αιμοποιητικά βλαστικά κύτταρα που μπορούν να δώσουν γένεση σε κύτταρα του αίματος όσο και μεσεγχυματικά που γενούν κύτταρα του λιπώδους ιστού, των χόνδρων και του οστίτη ...
Περίληψη Η έννοια πατρίδα στη συνείδηση του αρχαίου Ελληνικού κόσμου, αποτελούσε την κυρίαρχη ιδεολογία και την υπέρτατη αξία, από τους απλούς πολίτες μέχρι τους άρχοντες. Αυτό το μαρτυρούν κυρίως τα γραπτά των διαφόρων συγγραφέων, ποιητών και φιλοσόφων, από τον Όμηρο και το Θεόγνη, μέχρι τον Πλάτωνα, τον Αριστοτέλη και δεκάδων άλλων της κλασικής και ελληνιστικής περιόδου. Στη χριστιανική θρησκεία η πατρίδα θεωρείται επίσης κάτι το σεβαστό και το αξιαγάπητο, παρά το γεγονός ότι είναι θρησκεία χωρίς καμία εθνοφυλετική χροιά. Αυτό μαρτυρείται από αρκετούς πατέρες της εκκλησίας, αλλά και από χιλιάδες άλλους χριστιανούς (λαϊκούς και κληρικούς) που μαρτύρησαν για του «Χριστού την πίστη την Αγία και της πατρίδας την ελευθερία». Η επανάσταση του 1821 και όλοι οι άλλοι εθνικοί αγώνες των Ελλήνων ...
Περιοδικό "Ναυτική Ελλάς", Ιούλιος 2017 Ο λησμονημένος εξερευνητής Παναγιώτης Ποταγός «Οι παλιοί ταξιδευτές, με την ελπίδα να βρούνε αυτά που ονειροπολούσανε, αψηφούσανε κάθε κίνδυνο, μάλιστα τον θέλανε και τρέχανε να τον ανταμώσουνε, όπως η πεταλούδα ρίχνεται στη φωτιά, ενθουσιασμένη από το φως που βγάζει.» (Φ. Κόντογλου, «Θάλασσες, καΐκια και καραβοκύρηδες») Τα παιδικά μας χρόνια ήταν γεμάτα από τις περιπέτειες των μεγάλων εξερευνητών. Μας συνήρπαζoν εκείνες οι ιστορίες που διεδραματίζοντο μέσα σε μανιασμένους Ωκεανούς, σε άνυδρες ερήμους, σε σκοτεινά ποτάμια και ζούγκλες αλλά και στην αφιλόξενη παγωμένη «άβυσσο» των πόλων του πλανήτη. Κολόμβος, Βεσπούκι, Λίβινγκστον, Στάνλεϋ, Μαγγελάνος, Σκοτ, Μάρκο Πόλο και άλλοι με πλήθος ανωνύμων συντρόφων συνεπλήρωναν τα κενά του παγκοσμίου χάρτου «γεωγραφώντας» πάνω σε άγνωστα εδάφη και μυστηριώδεις θάλασσες. Στα «ταξίδια των ανακαλύψεων» ...
Η Δρακόλιμνη του Σμόλικα Η πρώτη Δρακόλιμνη που επισκεφτήκαμε ήταν εκείνη του Σμόλικα, του δεύτερου σε υψόμετρο βουνού της χώρας μας (2.637μ.). Η πορεία μας άρχισε από το όμορφο χωριό Αγία Παρασκευή (παλιά Κεράσοβο) που απέχει περίπου 27 χλμ. από την Κόνιτσα. Το μονοπάτι με νότια κατεύθυνση, περνώντας από πανέμορφα δάση (μαύρης πεύκης, μακεδονίτικου ελάτου, οξιάς και ρόμπολου) και αρκετά ξέφωτα πλημμυρισμένα με κάθε λογής ανθισμένη ποώδη βλάστηση, μας οδήγησε μετά από 4 ώρες περίπου σε άδενδρη περιοχή. Ο σερπεντίνης, που ως πέτρωμα κυριαρχεί εδώ, δίνει με τις πρασινόφαιες αποχρώσεις του ένα ιδιαίτερο χρώμα στο τοπίο. Συνεχίζοντας την επίπονη ανάβαση φθάνουμε σε πλάτωμα και αντικρίζουμε ξαφνικά την Δρακόλιμνη, που φαντάζει πανέμορφη στην πράσινη χλοασμένη επιφάνεια που την περιβάλλει. Σε υψόμετρο 2.200μ., η ...
Τι είναι όμως ζωή ή μάλλον τι σημαίνει ζωή έστω και σε γήινο πεδίο; Ο βιοχημικός ορισμός της είναι ένα σύνολο νουκλεϊνικών οξέων, πρωτεϊνών και άλλων πιο σύνθετων μορίων. Σήμερα, που ασχολούμαστε με τα πεδία και τα μη-γραμμικά συστήματα, θεωρούμε ότι: Στη μοντέρνα γλώσσα των μη-γραμμικών δυναμικών συστημάτων η ζωή είναι μία ξαφνική εμφάνιση οργάνωσης μέσα στο χάος, ένα φαινόμενο πολύ συνηθισμένο στα αριθμητικά μοντέλα πολύπλοκων συστημάτων. Αν δε η αναζητούμενη εξωγήινη ζωή είναι βιολογικά διαφορετική από εκείνη της Γης τότε το πρόβλημα είναι εξαιρετικά πολύπλοκο. Πηγή: astrobiology.nasa.gov/ Έτσι, αναπτύχθηκε η Αστροβιολογία, ένας κλάδος της Αστροφυσικής που μελετά όλες αυτές τις παραμέτρους. Σύμφωνα με τους παραπάνω ορισμούς που δώσαμε είναι σαφές ότι μπορεί να υπάρξει ζωή σε διαφορετικά στάδια ανάπτυξης και ...
Το θέμα που καλούμαι να αναπτύξω*, είναι εκ των πραγμάτων πολύ μεγάλο, αφού περιλαμβάνει έναν αιώνα, κατά τον οποίο υπήρξε έντονη αναζήτηση και επιστημονική έρευνα, έγιναν εκδόσεις λειτουργικών κειμένων και βιβλίων, θεολογικές συζητήσεις και ζυμώσεις, συνέδρια και ημερίδες με κέντρο τη θεία λατρεία. Και ο τομέας αυτός δεν ενδιαφέρει μόνο κληρικούς και θεολόγους, αλλά και ιστορικούς, βυζαντινολόγους, αρχαιολόγους, μουσικολόγους, αρχιτέκτονες, αγιογράφους, φιλολόγους, κοινωνιολόγους, ανθρώπους της τέχνης, θρησκειολόγους, λογοτέχνες κ.ά. Από το 1921 που κυκλοφόρησε το βιβλίο ενός ικανού, λογίου και σοφού κληρικού του Πρωτοπρεσβυτέρου Κων. Καλλινίκου, με τίτλο, Ο χριστιανικός ναός και τα τελούμενα εν αυτώ στην Αλεξάνδρεια, μέχρι την έκδοση του ογκώδους τόμου του άριστου γνώστη της λατρείας Μακαριστού Αρχιεπισκόπου Χριστοδούλου που περιέχει Λειτουργικές Εγκυκλίους τριών και πλέον δεκαετιών, ...
%lalalaahagagfagaaaepepnagha% O Γιώργος Ναούμ, ειδικός παθολόγος, τ. πρόεδρος της Ομοσπονδίας Συλλόγων Ιεροψαλτών Ελλάδας και Πρωτοψάλτης του ιερού ναοί αγ. Ελευθερίου Γκύζη μιλάει για την έρευνά του στους ψάλτες σύμφωνα με την οποία η ψαλτική τέχνη και συγκεκριμένα η ιεροψαλτική επί του αναλογίου αυξάνει το προσδόκιμο ζωής τουλάχιστον κατά 4 έτη. Η έρευνα έγινε σε δείγμα 4.000 ανδρών σε όλη την χώρα διαπιστώθηκε ότι όσοι ψάλλουν βυζαντινούς ύμνους ζουν περισσότερο. Όπως τόνισε ο καταξιωμένος ιατρός και πρωτοψάλτης η βυζαντινή μουσική πρέπει να είναι ενσώματη, να βιώνεται από τον ψάλτη. Σύμφωνα με τα αποτελέσματα της έρευνας που παρουσιάστηκαν στην Α’ Ημερίδα με τίτλο «Ελληνική Μουσική Παράδοση και 21ος αιώνας» που διοργάνωσε η Ομοσπονδία Συλλόγων Ιεροψαλτών Ελλάδος, «Τα ηχητικά κύματα της βυζαντινής μουσικής ταιριάζουν απόλυτα με την ...
(Προηγούμενη δημοσίευση: http://www.pemptousia.gr/?p=165833) Μετά την εκλογή του Αρχιεπισκόπου Χρυσάνθου δημοσιεύθηκε ο νέος «Καταστατικός νόμος της Εκκλησίας της Ελλάδος», όπου συμπεριλήφθηκαν νέες διατάξεις. Ο Νέος Νόμος δημοσιεύθηκε ως «Αναγκα-στικός Νόμος υπ’ αρ. 2170/ 1940. Περί Καταστατικού Νόμου της Εκκλησίας της Ελλάδος (Φ.Ε.Κ. 5 Α΄/4 Ιανουαρίου 1940)». Η δικτατορία του Ι. Μεταξά δεν επιθυμούσε τη σύγκληση της Ιεραρχίας και προσπάθησε να μειώσει τη σημασία της, αυξάνοντας τις δικαιοδοσίες της Διαρκούς Ιεράς Συνόδου, την οποία είχε υπό έλεγχο. Δεν ανέστειλε οριστικά τις τακτικές συνελεύσεις της Ιεραρχίας, απλά γίνονταν ανά 5 έτη αντί για 3 που όριζε ο προηγούμενος Καταστατικός νόμος. Η εκλογή του Αρχιεπισκόπου και των Μητροπολιτών ανατέθηκε στη Διαρκή Ιερά Σύνοδο και όχι στη Σύνοδο της Ιεραρχίας που όριζε ο προηγούμενος Καταστατικός Νόμος. Η ...
Το ερώτημα είναι: πως έγινε αυτή η μαζική μεταστροφή; Ο μητροπολίτης του Μπατούμι και Λαζέτι Δημήτριος Σιολασβίλι, ανεψιός του Πατριάρχη της Γεωργίας Ηλία Β’, σε συνέντευξή του σε ρωσσικό ιστολόγιο το Δεκέμβριο του 2012 αναφέρει ότι όταν στα 1986 διορίστηκε εφημέριος στο Άγιο Νικόλαο του Μπατούμι, υπήρχε στην πόλη μόνο μια Ορθόδοξη εκκλησία. Στα 1989 εγκαινιάστηκε ο καθεδρικός ναός της Γεννήσεως της Θεοτόκου. Σήμερα στην πόλη λειτουργούν 14 εκκλησίες. Ο Σεβασμιότατος αναφέρει ότι η μεταμόρφωση ολόκληρης της περιοχής δεν είναι παρά επιστροφή των κατοίκων στην πίστη των πατέρων τους. Οι Ατζάροι είχαν εξισλαμιστεί με βίαιο τρόπο από τους Οθωμανούς Τούρκους, όπως αναφέρθηκε πιο πάνω, αλλά παρέμειναν στην καρδιά Χριστιανοί (Κρυπτοχριστιανοί). Πολλοί ιερείς προέρχονται από μωαμεθανικές οικογένειες. Ο διευθυντής του εκκλησιαστικού ...
Ντοστογιέφσκι και μη Ευκλείδειες Γεωμετρίες Η Ευκλείδεια Γεωμετρία που μάθατε στο σχολείο ήταν πιθανώς μια μοντέρνα έκδοση του περίφημου βιβλίου «Στοιχεία» που έγραψε γύρω στο 300 π.Χ. ο Ευκλείδης. Λέγεται ότι αυτό το βιβλίο είναι το πιο πολυδιαβασμένο μετά τη βίβλο και θεωρείται ως το αρχέτυπο ενός αυστηρού συμπερασματικού συστήματος. Στο πρώτο από τα δεκατρία «κεφάλαια» των Στοιχείων διατυπώνoνται εκτός από τους ορισμούς και 5 Αιτήματα (ή Αξιώματα) για την Γεωμετρία: Τα 5 Αιτήματα του Ευκλείδη 1ο Αίτημα: Μπορούμε να φέρουμε μια ευθεία γραμμή από οποιοδήποτε σημείο προς οποιοδήποτε σημείο 2ο Αίτημα: Κάθε πεπερασμένη ευθεία μπορεί να προεκτείνεται συνεχώς και ευθυγράμμως. 3ο Αίτημα: Μπορούμε να γράψουμε έναν κύκλο με οποιοδήποτε κέντρο και ακτίνα. 4ο Αίτημα: Όλες οι ορθές γωνίες είναι ίσες. 5ο Αίτημα: Αν μια ευθεία που τέμνει δυο άλλες ευθείες γραμμές σχηματίζει εντός ...
Η πυρκαγιά και η εξάπλωσή της Πριν από 100 χρόνια λοιπόν ένα συνηθισμένο σαββατιάτικο απόγευμα στη μέση του καλοκαιριού του 1917, στις 5/18 Αυγούστου, εκδηλώθηκε η φοβερότερη πυρκαγιά στην ιστορία της Θεσσαλονίκης, που κατέστρεψε σχεδόν ολοσχερώς το ιστορικό κέντρο της πόλης και οδήγησε αναγκαστικά στην εκ βάθρων πολεοδομική και αρχιτεκτονική αναμόρφωσή της. Βέβαια η Θεσσαλονίκη δοκιμάστηκε πολλάκις από πυρκαγιές και στο παρελθόν. Ιστορικές μαρτυρίες για τέτοια φαινόμενα έχουμε ήδη από το 1545. Ιδιαίτερα εκτεταμένες καταστροφές έλαβαν χώρα με την πυρκαγιά του 1890, συνέπεια της οποίας ήταν η καταστροφή περίπου 2.000 κτιρίων, του ναού του Αγίου Γρηγορίου του Παλαμά με το αρχείο του και του ναϊδρίου της Παναγίας Ελεούσης. Κατά τη μακραίωνη ιστορία της πόλης παρατηρήθηκαν και περιπτώσεις που δεν οδήγησαν τελικά -θα ...
Η 3η φάση είναι αυτή της νεο-αποικιοκρατίας με μορφή πολιτικών πιέσεων και οικονομικών φεουδαρχικών πολιτικών με στόχο και μετά την ανεξαρτησία των χωρών, τη διατήρηση των εξωτερικών εξαρτήσεων μέσα από μορφές εμπορίου, επενδυτικές πολιτικές, διακανονισμούς χρεών κλπ που δεν ωφέλησαν καθόλου τους λαούς της Αφρικής. Η 4η φάση, αυτή που διανύουμε, είναι η περίοδος της οικονομικής παγκοσμιοποίησης. Η εποχή του δοξασμού των μεγάλων χρηματοοικονομικών οργανισμών, της ελεύθερης αγοράς με αρχή την μεγιστοποίηση του κέρδους και την ελαχιστοποίηση του κόστους. Για πολλούς, η νεοφιλελεύθερη ιδεολογία (βάση της παγκοσμιοποίησης) είναι η μόνη επιλογή για το μέλλον και για κάποιους σηματοδοτεί το τέλος της ιστορίας. Είναι όντως έτσι η μήπως πρόκειται για έναν «οικονομικό φονταμενταλισμό» που υποτάσσει τις ζωές των ανθρώπων, την λειτουργία της ...
Στο κεφάλαιο αυτό θα αναλυθεί η καταγωγή του Αυτοκράτορος Ηρακλείου και της Δυναστείας του, και με τον τρόπο αυτό θα ολοκληρωθεί η εξέταση και της Μεσοβυζαντινής Περιόδου (610 – 1204). Τα μέλη της Δυναστείας εκτός από τον ιδρυτή της, που βασίλευσε από το 610 έως το 641, είναι οι Κωνσταντίνος Γ’ ή Ηράκλειος Νέος Κωνσταντίνος (641), ο οποίος είναι Άγιος και η μνήμη του τιμάται την 3η Σεπτεμβρίου εκάστου έτους, Ηρακλεωνάς (641), Κώνστας Β’ (641 – 668), Κωνσταντίνος Δ’ Πωγωνάτος (668 – 685) και Ιουστινιανός Β’ (685 – 695 και 705 – 711). Γνωστό είναι και το όνομα του πατέρα του Ηρακλείου, ο οποίος φέρει το ίδιο όνομα με τον Αυτοκράτορα, ονομαζόμενος Ηράκλειος ο Πρεσβύτερος, στον οποίο εστιάζουν οι ιστορικοί ...
Ο Γέροντάς μου Ιωσήφ ο Ησυχαστής και Σπηλαιώτης, μέρος 19ο. Ανάγνωση από το ομώνυμο βιβλίο του Γέροντος Εφραίμ Φιλοθεΐτου, εκδόσεως Ι.Μ. Αγίου Αντωνίου Αριζόνας. Η ηχογράφηση έγινε στον ραδιοφωνικό σταθμό της Ι.Μ. Λεμεσού. Διαβάζει η κυρία Όλγα Κοκκίνου. %audio%








